这是 达医晓护 的第 4471 篇文章
结直肠癌是一种发病率较高的恶性肿瘤,目前发病率和死亡率分别位于全球平均水平的第3位和第2位,且发病年轻化的趋势显著,小于20岁的年轻人得了结直肠癌已经不是什么新鲜事。近年来,中国结直肠癌发病率和死亡率逐年上升,生存率却逐年下降,呈现“两高一低”的态势。那么我们该如何预防呢?研究表面,50%-70%以上的结直肠癌由结直肠息肉演变而来:小息肉——大息肉——重度不典型增生——原位癌——浸润性癌,一般这个过程可能长达5-10年,也有些发展很快。而息肉绝大部分不引起症状,主要靠肠镜检查发现。所以,预防肠癌需从其前身——肠息肉开始,肠镜检查能有效降低发病率和死亡率。

很多人对肠镜检查有恐惧感。总是以各种理由拒绝肠镜检查,有的怕痛、有的怕羞、有的怕喝泻药、有的怕伤到肠子和菊花、有的怕麻药会变傻、有的怕花钱、有的人怕检查结果自己接受不了……大部分人往往存在侥幸心理。
这篇文章通过展示肠镜检查的图像,生动的为您介绍肠镜检查过程及检查中需要注意的地方,使您对检查前、检查中乃至检查后的各项能做到心中有数,以便今后更好的配合医护进行肠镜检查。
一、检查前的准备工作及注意事项
肠镜诊断的准确性和治疗的安全性,很大程度上取决于肠道准备的质量好坏。那么,如何做好检查前的准备呢?
1、建议在肠镜检查前两三天不吃红色或多籽食物,如西瓜、西红柿、猕猴桃等,检查前一天进食少渣半流质食物如稀饭、面条,不要吃蔬菜、水果等多渣食物和奶制品。多数研究表明,肠道准备不充分,腺瘤检出率将显著降低,漏诊率显著上升。因此优质的肠道准备,是高质量肠镜检查的基础。
2、肠镜检查前1周需停用抗凝药物(如阿司匹林、泰嘉、波立维、华法林等)
3、根据肠镜预约时间,按清肠要求的时间节点口服清肠药,最终以排便为清亮水样为宜。
4、口服清肠药过程中如出现腹痛、呕吐、头晕、心悸等异常情况,请暂停口服,必要时与就诊医生取得联系。检查前可服用高血压药,糖尿病药物可停服一次。
二、检查前的体位摆放
我院有专门的肠镜检查裤,贴心保护您的隐私。肠镜检查一般采用左侧卧位,松解腰带,屈膝,然后护士会给您盖上床单。

肠镜是一根细长灵活的软管,头端装有灯光、摄像头,有充气、冲水装置,高端的肠镜还可以放大、染色等。
肠镜从我们的肛门进入大肠,一直到达小肠的末端;冲水口可以随时出水冲洗肠道,充气可使原本瘪着的肠道像气球一样被撑开,以便医生更好的观察;摄像头将在肠道内的影像实时传到电脑屏幕上,医生可以直接地观察,任何病变都一览无遗;如果发现肠道内长了异常的东西还可以利用活检钳钳取,送病理检查,更能切掉息肉,肿瘤等。
三、肠镜操作的大致过程
各项准备结束后,医生会将一根带有摄像头的软管,从肛门进入,通过直肠、“山路十八弯”的乙状结肠、降结肠、横结肠、升结肠,一直到达小肠的末端,而且肠镜可以360度观察整个肠腔。
由于肠道不是直的,肠镜通过弯曲部位的时候,可能会有轻微的不适或者疼痛感,需要检查者尽量放松,不要紧张。为了观察更加清楚,医生在做肠镜的时候,需要往肠道里充气,将结肠撑起来,让肠粘膜充分的展露,肠镜结束后,医生会将气体尽量排出。
每个人的肠腔走形,结肠的长度有所差异,肠镜检查的姿势也有所差异,有时候需要患者配合做体位的改变,左侧卧位,仰卧位(双腿曲膝,右腿置于左腿上),甚至右侧卧位,有时候还需要护士对检查对象的腹部进行按压,以便更加顺利的完成肠镜检查。
肠镜进入到回肠末端之后,就开始慢慢的退镜,一边退镜,一边观察肠道有没有病变,如炎症、出血、息肉、肿瘤等。
从末端回肠开始退镜

下图是我院健康体检人员肠镜检查中发现的末端回肠的病变。

退出末端回肠,我们看到回盲部的回盲瓣

经常可以看到一个个像房间一样的黑黑的洞,这是结肠憩室,有时候会有粪块嵌顿在里面,容易引起腹痛症状。

在回盲部的顶端,会有个小开口,就是我们的阑尾孔

退镜经过升结肠

到达了结肠肝曲,特征性的表现是该位置可以看到肠壁后面的青色区域,因为后面紧贴肝脏

下图是我院健康体检人员肠镜检查中发现的结肠肝曲病变

过了肝曲,我们就到了横结肠

下图是我院健康体检人员肠镜检查中发现的横结肠病变


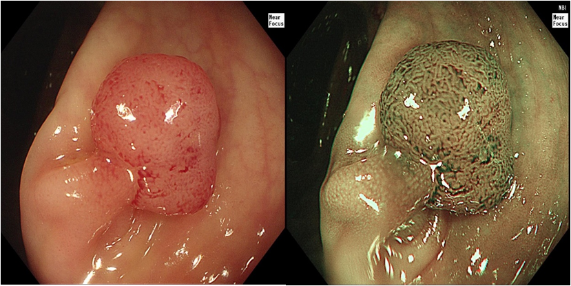
经过横结肠,到了另一个转弯点,结肠脾曲

接下来是降结肠

乙状结肠是结肠镜操作难度最大的地方,转弯最多,扭曲最厉害

下图是我院健康体检人员肠镜检查中发现的乙状结肠早期病变


结束了结肠的检查,我们到达了直肠

最后看到直肠肛管

至此,肠镜检查结束。如果医生在任何部位发现异常,还会反复仔细观察,并采用染色技术及高清放大内镜观察,记录异常病灶所在的部位,大小,数目等等,必要时取活检进一步检查(病理)。

活检钳从内镜末端伸出,取一点活体组织,这就是肠镜活检;取出来的东西交给病理医生,在电镜下观察以判断病变的性质。
我们肠镜检查要求退镜时间大于6分钟。
无痛肠镜的话,只需做个浅浅的梦,就万事大吉啦。
30分钟后你会得到一份肠镜检查报告(有活检的病理报告需要7-10天才能出来)。
这是我院的内镜报告

肠镜检查作为消化道疾病筛查和诊断的金标准,能提高早期结直肠癌的发现率。近几年健康体检人群在我院胃肠中心做肠镜检查时发现的一些早期肿瘤性病变更加说明,早期肿瘤性病变可以没有任何症状。结直肠癌是少数可以进行且最适合筛查的肿瘤之一,所以即使您平时无明显不适,在健康体检时也要做肠镜检查。如果发现了息肉,其实你是幸运的,因为你阻断了它几年后发展为肠癌的可能,没做检查谁能知道呢?
哪些人群需要做肠镜检查?
1、40岁以上,无论男女,既往无论有无消化系统的问题,建议择期进行一次肠镜检查。如有阳性发现(炎症性肠病、息肉、腺瘤等),在做完治疗后应按照医生给出的建议定期复查。
2、本人有炎症性肠病、家族性息肉病;有结直肠息肉或结直肠癌家族史。
3、进行胆囊切除群体,慢性阑尾炎或阑尾切除史。
4、长期便秘、腹泻,有排便习惯改变,不明原因腹痛、便血、消瘦的群体。
5、生活习惯不好,长期抽烟、喝酒;长期缺乏运动,高脂肪、高盐饮食者。
6、体检时发现CEA、CA199等肿瘤标志物不明原因升高、大便隐血阳性或肠液隐血阳性的群体。
作者:华东疗养院胃肠中心
万鹏程
部分图片摘自网络,如有侵权请告知,予以删除。
所有人名和地名均为化名,如有雷同,纯属巧合。
"肠子"久安杂志主编:周璐

收藏
赞