这是 达医晓护 的第 3730 篇文章
患者:“医生,我刚刚想去颌面外科拔智齿,外科医生听到我之后想要做矫正,所以先让我来正畸科看一下,确定智齿是否需要正畸前拔除。”正畸医生:“你很幸运,遇到了一个非常认真负责的外科医生。我们来具体分析一下您的情况。”这是常常发生在正畸门诊的一段对话。大家肯定会疑惑为什么智齿拔除前需要先来看正畸吧。这期小编就和大家谈谈智齿与正畸的二三事。
1.智齿也能是正畸的“坚实后备军”
如果缺失了磨牙,千万别着急去拔除智齿。因为有些情况下,可以辅助正畸,将智齿前移来替代缺失的磨牙,这样就可以避免种植牙的费用和麻烦了。不过前提是智齿本身无明显病变,且大小、形态合适。

2.智齿的拔除时机大有讲究
随着隐形牙套和种植钉的普及使用,有些轻中度的牙列拥挤和面型前突,可以通过拔除智齿,推全牙列往后来获得间隙,解决拥挤和嘴突的问题。刚拔除智齿的前三个月牙槽骨处于快速改建期,牙齿移动速度快,全牙列后移阻力小。如果早早拔除智齿,就无法获得此效应。在正畸医生推荐的合适时机去拔除智齿,就可以获得事半功倍的效果。

3.正畸可降低某些智齿拔除的风险
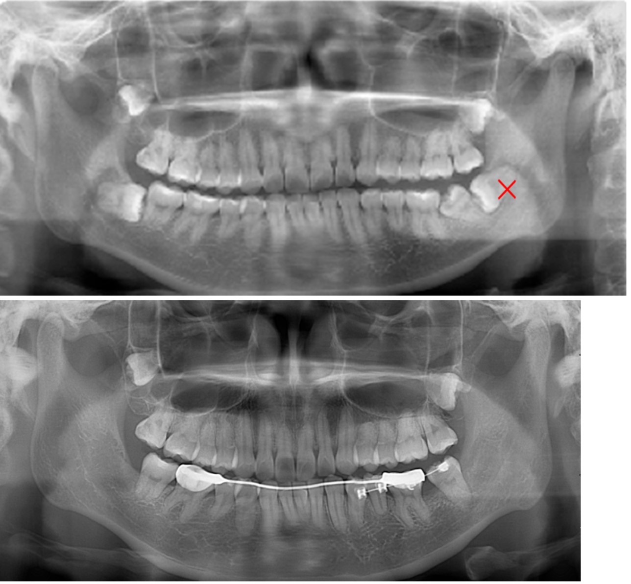
比如有些患者的下颌智齿是近中埋伏阻生的,抵在前面大牙的牙根上,并且智齿的根尖离下颌神经管较近。那么在拔除智齿时存在损伤下颌神经的风险,导致下唇麻木,前面大牙在智齿拔除后松动敏感的风险也较高。如果这个患者需要拔除前磨牙来矫正,并且前牙后移不需要一颗前磨牙的宽度,那么后牙可以适当前移,增加智齿的萌出空间。如图可见在正畸之后,左下智齿近中移动,牙长轴方向有所直立,根尖距离神经管的距离增加,智齿前方牙齿的远中牙槽骨水平也有所增加。此时,正畸后拔除智齿可能导致的神经损伤和前牙松动的风险能明显降低。如图的右上智齿在正畸前拔除需要切开牙龈,拔除后需要缝合,正畸后则可直接拔除。
4.有些智齿需要在正畸前拔除
那是不是这些埋伏阻生的智齿都可以在正畸后拔除,来降低风险呢?答案是:并不是。因为有些智齿是部分萌出的阻生智齿,由于难以清洁到位可能已经存在反复的发炎疼痛的情况,那么就需要尽快拔除。否则在正畸的1-3年的时间里发炎疼痛的情况会反复发生,也可能导致前面的磨牙被顶吸收或者龋坏,甚至被拔除,也会造成局部牙槽骨吸收。这些都是不可逆的损伤。预防性的尽早拔除智齿永远比亡羊补牢要省时省力省钱得多。

再比如牙齿萌出空间不足,智齿和前面大牙都阻生,则需要先拔除智齿,再通过正畸的方式直立阻生大牙。
5.正畸后需尽快拔除阻生的智齿,
防止牙齿拥挤复发
阻生的智齿有一直沿着牙冠方向萌出的力量,力量沿着后牙会一直传导到前面的牙齿,后牙呈块状,前牙为刃状,前牙较易受影响,会导致正畸后牙齿拥挤复发,特别是门牙。所以建议尽快拔除阻生的智齿,防范于未然。

6.是不是所有的智齿都需要拔除
并不是所有的智齿都需要拔除,比如已经完全萌出的智齿,大小、位置都是正确的,并且也从来没有发过炎,那么就可以保留。万一之后磨牙缺失,或许可以进行牙齿移植,替补上场。
注:图片都源于冯梦绮医生矫治患者曲面断层片
同济大学附属口腔医院正畸科
撰稿:冯梦绮
审校:廖崇珊
延伸阅读
部分图片摘自网络,如有侵权请告知,予以删除。
所有人名和地名均为化名,如有雷同,纯属巧合。
发表评论

收藏
赞